【重要】たつや歯科の診療内容に関するお知らせ
当院では、前歯を部分的に矯正治療する
「部分矯正」を主に診療を行っております。
患者さんの歯並びの改善に向けて、最適な治療を提供しております。
そのため、大変申し訳ございませんが、
現在は「虫歯治療・入れ歯の作成」などの
“新規の一般歯科治療のみ”受付を中止しております。
ご不便をおかけしますが何卒ご理解賜りますようお願い申し上げます。
審美治療
美しい笑顔が自信に変わる!
口元には歯の色や形、歯並びなど「見た目」に影響する部分が多くあります。
「歯並びが悪くて口を開けたくない」
「歯が黄ばんでいるから自然に笑えない」
「歯の形が気になる…」

などのコンプレックスを抱えている方は意外と多いもの。そのコンプレックスから解放され、口元を気にせずに笑ったりお話したりできるようにするのが審美治療の役割です。
口元全体を健康にし、見た目も美しくさせる治療を受けて、コンプレックスを美しさに、そして美しさを自信に変えましょう!
審美歯科の料金表
| オールセラミック | 1本あたり ¥132,000(税込) |
|---|---|
| ジルコニアセラミック | 1本あたり ¥132,000(税込) |
| ラミネートベニア | 1本あたり ¥99,000(税込) |
審美歯科のリスク
審美歯科に用いたセラミックが、噛み合わせ等によっては破折する可能性がございます。
セラミック治療
セラミック治療とは
従来の歯科治療では、歯が欠けたり抜けたりした場合には、その部分を補うために主に金属を用いて咀嚼(そしゃく)を回復させていました。しかし近年では「見た目が嫌」「笑うと銀歯が気になる」「アレルギーがある」という理由から、セラミック治療を希望する方が増えてきています。
セラミック治療なら、リスクとしてセラミックの破折、色調の再現に限界があるなどがありますが、単に欠損部を補うだけでなく口元に「美しさ」をプラスすることができるのです。
セラミックは硬度が高く丈夫で、長期間使用しても変色する心配がありません。また生体親和性が非常に高く、見た目の美しさはもちろん、機能性も天然歯と変わらないのが特徴です。そのため多くの歯科医院で採用されています。また矯正装置を使わずに歯並びを短期間で美しく整えることが可能です。
歯科技工士との綿密な連携
優秀な歯科技工士が生み出す、「自然な美しさ」
たつや歯科では、自由診療に専門特化した歯科技工士と連携して、「ただ白い」ではなく、一人一人の患者さんの顔の形、肌の色、口の大きさなどを踏まえた「自然な美しさ」を生み出します。特に前歯のセラミック治療では、人工の歯とは分からない極めて審美的な治療が可能になります。
場合によっては、技工士が直接患者さんの要望を伺い、よりオーダーメイドの被せ物を作製することも可能です。
刷新的なスキャニングシステムによるコンピューターデザインにより、正確な設計で、精度の高いセラミック歯を提供できます。
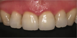
オールセラミック治療例
症例1
| 治療前 | 治療後 | |
|---|---|---|
![]() |
![]() |
| 治療内容 | 隙間ができていた前歯を自然にキレイに治療しました |
|---|---|
| 治療費 | ¥396,000(税込)(¥132,000(税込) ×3本) |
| 治療のリスク | 噛み合わせによってはセラミックが欠けることがあります |
症例2
| 治療前 | 治療後 | |
|---|---|---|
![]() |
![]() |
| 治療内容 | 欠けていた前歯を自然にキレイに治療しました |
|---|---|
| 治療費 | ¥396,000(税込)(¥132,000(税込) ×3本) |
| 治療のリスク | 噛み合わせによってはセラミックが欠けることがあります |
症例3
| 治療前 | 治療後 | |
|---|---|---|
![]() |
![]() |
| 治療内容 | 隙間ができていた前歯を自然にキレイに治療しました |
|---|---|
| 治療費 | ¥396,000(税込)(¥132,000(税込) ×3本) |
| 治療のリスク | 噛み合わせによってはセラミックが欠けることがあります |
ジルコニアセラミックス
耐腐食性・生体親和性に優れているクラウン(被せ物)で、2005年に国内で初めて厚生労働省の許認可を取得した歯科治療素材です。
ジルコニア治療例
| 治療前 | 治療後 | |
|---|---|---|
![]() |
![]() |
| 治療内容 | 耐腐食性・生体親和性に優れているセラミックを用いて、 自然に美しくキレイに仕上げました |
|---|---|
| 治療費 | ¥528,000(税込)(¥132,000(税込) ×4本) |
| 治療のリスク | 噛み合わせによってはセラミックが欠けることがあります |
| 特徴 | ・金属アレルギーを引き起こさない ・天然歯に近い美しさがある ・金属よりも軽いのに硬くて丈夫 ・従来のセラミックの2~3倍の耐久性を持つ ・表面が滑らかで汚れにくく、細菌の付着が少ない ・腐食しない |
|---|
などの特徴が挙げられます。主に奥歯の治療などに用いられます。
ラミネートベニア(セラミック矯正)
歯の一部が欠けてしまった、歯と歯の間に隙間がある、ホワイトニングでは白くならない着色がある場合に行う治療法です。歯の表面のエナメル質を0.3~0.5ミリ程削り、セラミックをシェル状に薄くした物を歯に貼り付けます。
ラミネートベニア(セラミック矯正)治療例
| 治療前 | 治療後 | |
|---|---|---|
![]() |
![]() |
| 治療内容 | 悪かった歯並びと歯の黄ばみが、劇的に改善しました |
|---|---|
| 治療費 | ¥595,000(税込)(¥99,000(税込) ×6本)+税 |
| 治療のリスク | 噛み合わせによってはセラミックが欠けることがあります |
| 特徴 | ・摩耗が少ない ・比較的耐用年数が長い ・歯肉への刺激が少ない ・麻酔など使用せずに短時間で接着できることがある ・変色しにくい ・生まれつき歯の色が悪い場合でも対応できる |
|---|
などの特徴が挙げられます。
患者さんへの負担も少なく、現在では審美治療の中でポピュラーになりつつある治療法です。




















