【重要】たつや歯科の診療内容に関するお知らせ
当院では、前歯を部分的に矯正治療する
「部分矯正」を主に診療を行っております。
患者さんの歯並びの改善に向けて、最適な治療を提供しております。
そのため、大変申し訳ございませんが、
現在は「虫歯治療・入れ歯の作成」などの
“新規の一般歯科治療のみ”受付を中止しております。
ご不便をおかけしますが何卒ご理解賜りますようお願い申し上げます。
入れ歯
入れ歯が合わなくて痛い、という患者さんへ
入れ歯(義歯)治療とは、歯を失ってしまった部位の歯本来の機能を取り戻す治療法の1つです。一般的に取り外しできるタイプのものが採用され、「総入れ歯」と「部分入れ歯」に大きく分かれます。また、入れ歯には「保険診療」と「自由診療」があります。
部分入れ歯(保険診療)
保険診療の部分入れ歯は使用できる素材や形に制限があり、金属のバネが見えてしまうなど審美面に欠けています。バネをかけるので健康な歯に負担がかかってしまいます。
総入れ歯(保険診療)

使用できる素材や形、特徴などは部分入れ歯と違いがありません。すべてが合成樹脂で作られているので、分厚くなり違和感があります。また、耐久性に劣り長期使用すると劣化してしまいます。
金属床(自由診療)
歯茎に当たる部分を金属で作った入れ歯で、薄く加工できる金属製の素材が使用されます。使用する金属はさまざまで、ゴールドチタンやコバルトなどが代表的です。合成樹脂よりも薄く作ることができるため、装着時のフィット感がよく見た目も自然です。熱も伝わりやすいので食べ物をおいしく食べることができます。また強度も高く、長期間お使いいただけます。しかしながら、入れ歯全体に言えることですが、治療のリスクとして、入れ歯維持の為の支える歯の負担が増え、残存歯の状態を悪化させることがあります。
治療費
| 総入れ歯 | レジン床(プラスチック) | ¥88,000(税込) |
|---|---|---|
| 金属床(コバルトクロム) | ¥275,000(税込) | |
| 金属床(チタン) | ¥550,000(税込) | |
| 金属床(ゴールド) | ¥770,000(税込) | |
| アタッチメント | 1装置 ¥55,000(税込) |
目立たない入れ歯・スマイルデンチャー

スマイルデンチャーとは、アメリカで誕生した金属のバネを一切使用しない入れ歯です。リスクとして、入れ歯維持の為の支える歯の負担が増え、残存歯の状態を悪化させることがありますが、アメリカで50年以上使用され、イギリスを始めとした30カ国に普及しています。
| 特徴 | ・バネが見えないため見た目が美しい ・バネを使用しないので健康な歯に負担がかかりづらい ・薄くて軽いので装着時の違和感が少ない ・金属アレルギーを引き起こさない ・従来の入れ歯よりグラつかず、会話に支障がない ・歯茎にフィットするため食べ物が挟まらない |
|---|
治療費
| バネのない入れ歯・スマイルデンチャー | ¥88,000(税込)~¥275,000(税込) |
|---|
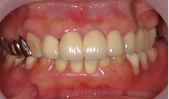
ばねのある入れ歯からスマイルデンチャーへ取り替えた治療例
| 治療前 | 治療後 | |
|---|---|---|
![]() |
![]() |
| 治療前 | 治療後 | |
|---|---|---|
![]() |
![]() |
| 治療内容 | これまで金属が目立つ入れ歯だったが、目立たなくなりました |
|---|---|
| 治療費 | ¥88,000(税込) |
| リスク・副作用 | 入れ歯維持のため、支える歯の負担が増えることがあります |














